T lymphocytes

10 March, 2025

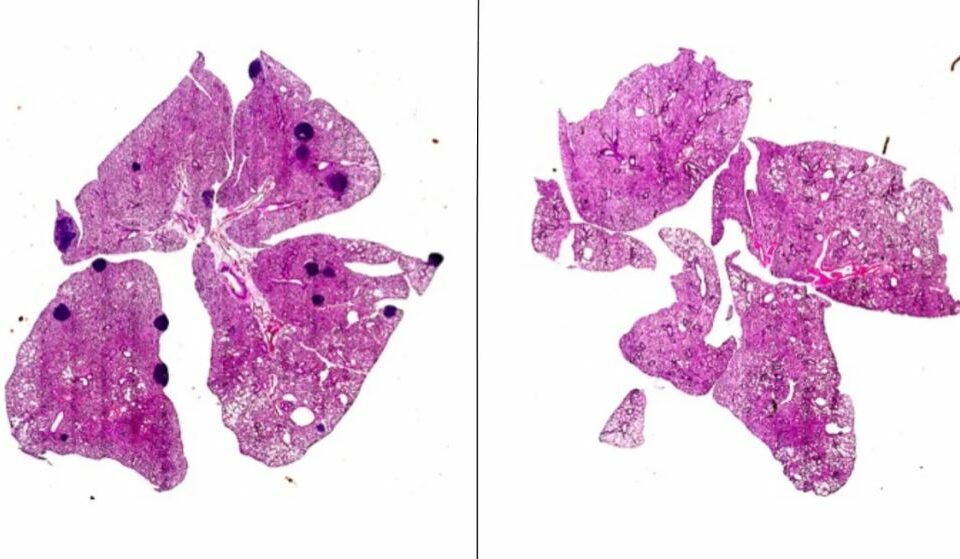
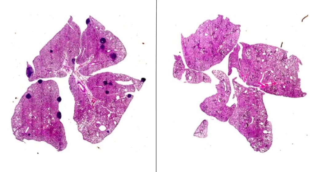
Aspirin, a new ally against cancer: metastasis is stopped in a novel experiment with mice

This common drug can prevent T cells from being inhibited, improving their ability to destroy cancer cells. Ángel Lanas, scientific director of the IIS Aragón, explains this to Science Media Centre.