present

20 March, 2025

The Aragon Health System Biobank launches its monthly newsletter

Published monthly, the newsletter will provide information of interest on the operation of the Biobank, the latest developments in the Biobank's work, and its collaboration with various IIS Aragón groups, among others.
September 13, 2024

Great reception for the return of Patient in Science

More than 40 people participated in the audiovisual creation and creative writing workshops organised by the IIS Aragón project in collaboration with FECYT. The sessions included the participation of experts Anabel García, Santiago Vicente and Marina Mostajo.
September 12, 2024

First 'movie' of influenza virus genome multiplication obtained

IMDEA Nanoscience researchers have observed, for the first time, the multiplication of the influenza A virus genome in real time. This fact will help to understand some of the factors that determine the speed of multiplication of this infectious microorganism.
August 30, 2024

Learn about audiovisuals, writing and photography in free workshops from Paciente en Ciencia

Three new sessions of Patient in Science, the IIS Aragón project with the collaboration of FECYT that seeks to strengthen the interaction between citizens, patients and researchers.
August 29, 2024

New algorithm facilitates personalized treatments for genetic disorders and cancer

The RTD detective computational model, developed by CRG researchers and published in Nature Genetics, predicts the efficacy of drugs for pathologies caused by genetic mutations. Based on data from more than 5000 patients, the system promises to accelerate the development of targeted therapies and optimize clinical trials.
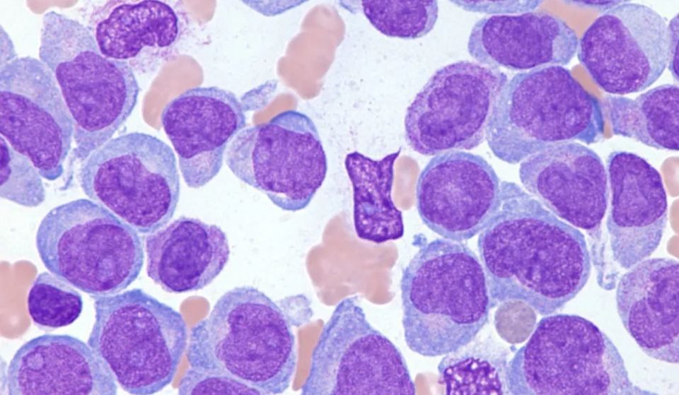
August 26, 2024

RNA 'sequestration' silences the development of acute myeloid leukemia

An international study, published in the journal Nature Cell Biology, offers a new perspective to better understand the malignant transformation of cells that occurs in this disease.
August 22, 2024

A research project seeks to reduce childhood obesity with the help of one hundred families in Aragon

The IIS Aragón has been collaborating since 2019 in the 'Meli-POP' study to prevent childhood obesity. We work with children who were then between 3 and 6 years old and who will be followed up until adolescence.
August 20, 2024

The magazine Cancers highlights a review article on therapies from the Molecular Oncology group of the IIS Aragón

The work has been dedicated to Professor María Victoria Arruga, who recently died, and who was the "teacher" of the researcher Alberto J. Schuhmacher. The article was one of the five highlighted among the 157 in the latest issue of the magazine on its website.